
Even Out Your Smile.
Restore Confidence.
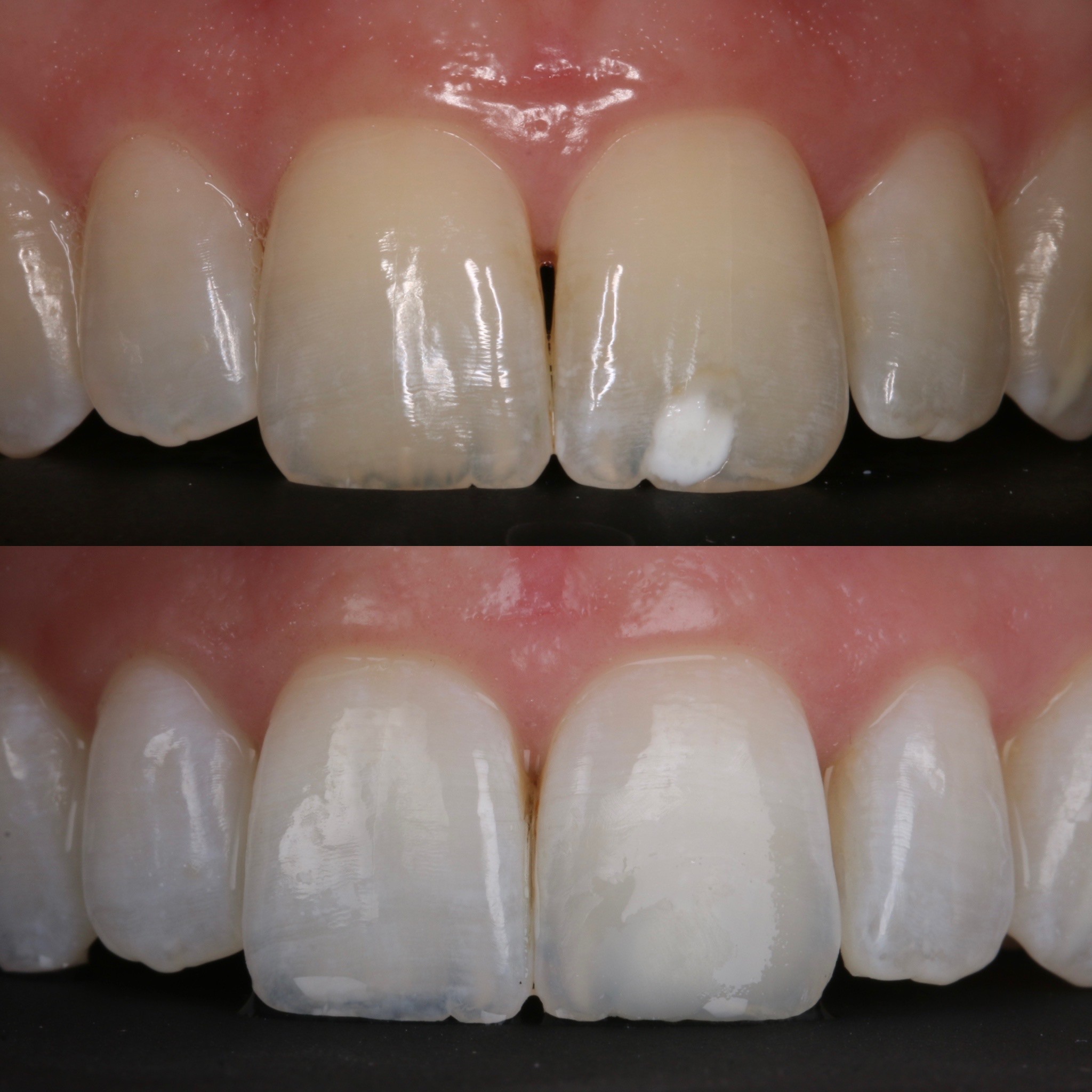
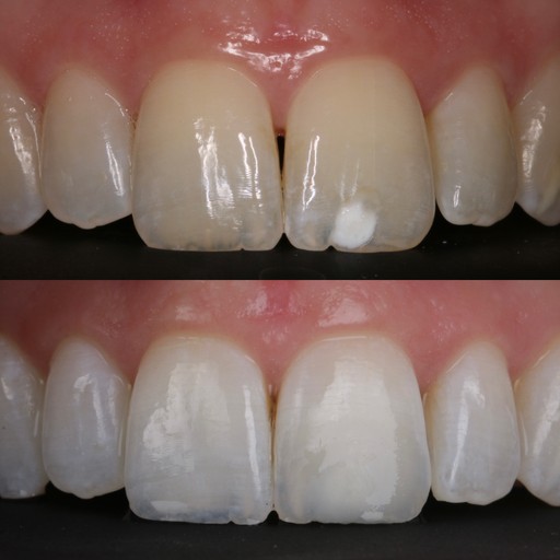
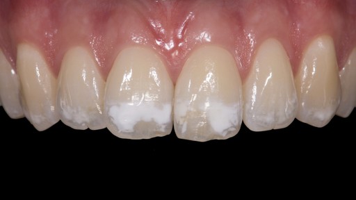
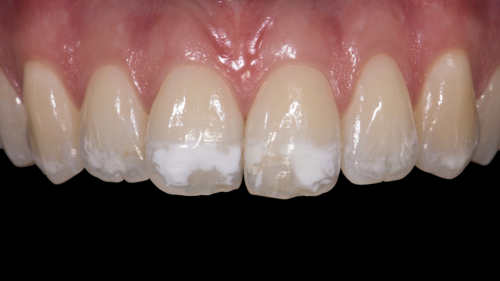
White spots on your teeth can make you feel self-conscious, even if your smile is healthy. At Cottonful Dental, we use modern, non-invasive treatments to gently remove these spots—leaving your enamel smooth, natural-looking, and radiant.


White Spot Removal
What Causes White Spots?
What Causes White Spots?
White spots may appear for several reasons:
Fluorosis – too much fluoride during childhood
Fluorosis – too much fluoride during childhood
Enamel hypoplasia – weakened enamel development
Enamel hypoplasia – weakened enamel development
Early cavity formation
Early cavity formation
Dietary and lifestyle factors
Dietary and lifestyle factors
No matter the cause, our team has solutions that restore balance and beauty to your teeth.
Lasting Solution
Lasting Solution
Lasting Solution
How We Treat White Spots
How We Treat White Spots
At Cottonful Dental, we offer advanced treatment options such as:
ICON Resin Infiltration – a minimally invasive procedure that penetrates enamel and blends white spots seamlessly
ICON Resin Infiltration – a minimally invasive procedure that penetrates enamel and blends white spots seamlessly
ICON Resin Infiltration – a minimally invasive procedure that penetrates enamel and blends white spots seamlessly
Teeth Whitening – brightens the entire smile for a more even shade
Teeth Whitening – brightens the entire smile for a more even shade
Teeth Whitening – brightens the entire smile for a more even shade
Microabrasion & Bonding – selectively removes superficial spots or masks them with natural-looking resin
Microabrasion & Bonding – selectively removes superficial spots or masks them with natural-looking resin
Microabrasion & Bonding – selectively removes superficial spots or masks them with natural-looking resin
We’ll recommend the best option based on your smile goals and the extent of the white spots.


Benefits
Benefits
Benefits
Benefits of White Spot Removal
Benefits of White Spot Removal
Smooth, uniform enamel
Smooth, uniform enamel
Smooth, uniform enamel

More youthful, confident smile

More youthful, confident smile

More youthful, confident smile

Non-invasive, pain-free treatment

Non-invasive, pain-free treatment

Non-invasive, pain-free treatment

Fast results, often in just one visit

Fast results, often in just one visit
